ปรึกษาออนไลน์
TOP

บริการทางการแพทย์

ความงามและสุขภาพที่สมบูรณ์แบบ
ด้วยบริการทางการแพทย์ที่ดีที่สุด

วีเนียร์

LAMINATE VENEER
คืนรอยยิ้มที่มั่นใจ
ให้กับคุณ

ออกแบบฟันของคุณเองได้ ทั้งรูปร่าง สี และการเรียงตัว
เปลี่ยนรอยยิ้มของคุณให้สวยงาม ดูเป็นธรรมชาติ และมีเสน่ห์มากขึ้นภายในเวลาอันสั้นด้วยวีเนียร์

ภาวะฟันที่เหมาะ
สำหรับการทำวีเนียร์
  • 01

    ฟันมีสีคล้ำหรือเปลี่ยนสี

  • 02

    ฟันแตกหรือบิ่น

  • 03

    ฟันห่าง

  • 04

    ฟันซ้อนเกหรือไม่เรียงตัวสวย

  • 05

    ฟันเล็กหรือยื่นออกมาผิดรูป

บริการทางการแพทย์เฉพาะบุคคล
01

ออกแบบรอยยิ้มเฉพาะบุคคล
เพื่อผลลัพธ์ที่ดีที่สุด

ขั้นตอนที่ 1: การวิเคราะห์โครงสร้างฟัน

  • 01

    สแกนฟันด้วย X-ray และ 3D Scan เพื่อวิเคราะห์โครงสร้างฟันและรูปหน้าอย่างละเอียด

  • 02

    ออกแบบฟันให้เหมาะสมกับรูปหน้า ขนาด และสีของฟันที่ต้องการ

02

การวิเคราะห์ฟันและโครงหน้า &
การสร้างแบบจำลอง

ขั้นตอนที่ 2: การออกแบบวีเนียร์ให้เหมาะกับแต่ละบุคคล

  • 01

    วิเคราะห์ฟันและโครงหน้ารวมกัน เพื่อออกแบบรอยยิ้มที่สมบูรณ์แบบ

  • 02

    สร้างแบบจำลองล่วงหน้าเพื่อดูผลลัพธ์ที่คาดหวังได้ก่อนทำจริง

03

การออกแบบวีเนียร์
เพื่อลดการกรอฟันให้น้อยที่สุด

ขั้นตอนที่ 3: การเตรียมฟันก่อนติดตั้งวีเนียร์

  • 01

    กรอฟันให้น้อยที่สุดเพื่อรักษาเนื้อฟันธรรมชาติให้มากที่สุด

  • 02

    ปรับแต่งอย่างแม่นยำเพื่อลดผลข้างเคียงที่อาจเกิดขึ้นจากการกรอฟันมากเกินไป

04

ออกแบบวีเนียร์
ที่มีคุณภาพระดับพรีเมียม

ขั้นตอนที่ 4: การผลิตวีเนียร์เฉพาะบุคคล

  • 01

    ผลิตวีเนียร์ที่มีสีและความโปร่งแสงเหมือนฟันธรรมชาติ

  • 02

    ออกแบบให้เข้ากับรอยยิ้มและโครงหน้าของแต่ละบุคคล เพื่อผลลัพธ์ที่สมดุลและใช้งานได้ดี

05

ติดตั้งวีเนียร์อย่างมั่นคง
เพื่อการใช้งานที่ยาวนาน

ขั้นตอนที่ 5: การติดตั้งวีเนียร์

  • 01

    ติดตั้งวีเนียร์ด้วยระบบยึดติดที่แม่นยำ พร้อมปรับแต่งการสบฟันอย่างละเอียด

  • 02

    ตรวจสอบให้แน่ใจว่าวีเนียร์แนบสนิทกับฟันและสามารถใช้งานได้เป็นปกติ

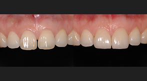
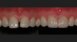
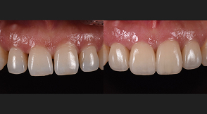
รูปก่อนและหลังการทำวีเนียร์

more view
more view