ปรึกษาออนไลน์
TOP

บริการทางการแพทย์

ความงามและสุขภาพที่สมบูรณ์แบบ
ด้วยบริการทางการแพทย์ที่ดีที่สุด

รากฟันเทียม

IMPLANT
ฟื้นฟูฟันของคุณ
ให้แข็งแรงและเป็นธรรมชาติ
เหมือนฟันจริง

รากฟันเทียมที่ช่วยให้การบดเคี้ยวเป็นธรรมชาติ พร้อมเสริมความมั่นใจในการยิ้มและใช้ชีวิต
ให้การรักษาที่แม่นยำและออกแบบรากฟันเทียมที่เหมาะสมกับแต่ละบุคคล

ภาวะฟันที่เหมาะ
สำหรับการทำรากฟันเทียม
  • 01

    สูญเสียฟันบางซี่หรือหลายซี่

  • 02

    ไม่มีฟันทั้งปากและต้องการฟื้นฟูการใช้งาน

  • 03

    โรคเหงือกอักเสบรุนแรงทำให้ฟันหลุดร่วง

  • 04

    การสบฟันผิดปกติและประสิทธิภาพการบดเคี้ยวลดลง

  • 05

    ฟันอ่อนแอหรือมีปัญหาด้านความสวยงาม

บริการทางการแพทย์เฉพาะบุคคล
01

การวิเคราะห์อย่างละเอียด
และออกแบบการรักษาเฉพาะบุคคล

ขั้นตอนที่ 1: การวิเคราะห์และออกแบบรากฟันเทียม

  • 01

    ใช้ CT 3D และระบบนำทางดิจิทัลเพื่อตรวจวิเคราะห์ความหนาแน่นของกระดูก ตำแหน่งเส้นประสาท และโครงสร้างของขากรรไกร

  • 02

    วางแผนการรักษาให้เหมาะกับโครงสร้างฟันของแต่ละบุคคล

02

ปลอดภัยยิ่งขึ้น
ด้วยเทคโนโลยีที่ทันสมัย

ขั้นตอนที่ 2: การฝังรากฟันเทียมด้วยเทคนิคที่แม่นยำ

  • 01

    ใช้เทคโนโลยี Navigation Implant ในการจำลองการผ่าตัดแบบ 3D

  • 02

    ฝังรากฟันเทียมด้วยความแม่นยำสูง โดยใช้เทคนิคที่ลดการผ่าตัดให้เล็กที่สุด ลดอาการบวมและช่วยให้ฟื้นตัวเร็วขึ้น

03

ฟื้นตัวเร็ว
และให้ผลลัพธ์ที่ดูเป็นธรรมชาติ

ขั้นตอนที่ 3: การติดตั้งครอบฟันและฟื้นฟูฟังก์ชันการใช้งาน

  • 01

    ใช้เทคนิค PRF (Platelet-Rich Fibrin) เพื่อช่วยกระตุ้นการสร้างกระดูก และติดตั้งครอบฟันที่ออกแบบเฉพาะบุคคล

  • 02

    ฟื้นฟูรอยยิ้มที่เป็นธรรมชาติและเสริมสร้างความมั่นใจในการใช้ชีวิต

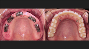
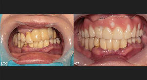
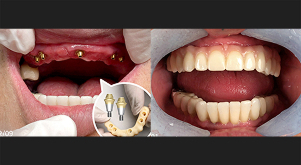
รูปก่อนและหลังการทำรากฟันเทียม

more view
more view