Online Inquiry
TOP

Medical Services

Achieve Beauty and Health
with the Best Medical Services.

Dental Implants

IMPLANT
Strong & Natural—
Just Like Your Real Teeth

Enhance your quality of life with implants that offer natural aesthetics and chewing comfort.
With precise diagnostics and customized treatment, we deliver the ideal implant solution.

When Do You Need
Dental Implants?
  • 01

    Missing Teeth

  • 02

    Full Mouth Edentulism

  • 03

    Severe Periodontitis

  • 04

    Malocclusion & Functional Impairment

  • 05

    Weakened Teeth & Aesthetic Concerns

Personalized
Dental Care
01
  • s

Accurate Diagnosis &
Customized Treatment Plan

Step 1: Implant Planning

  • 01

    3D CT and digital navigation system analyze bone density, nerve positioning, and jawbone condition.

  • 02

    Personalized treatment plans are developed based on this analysis.

02

Enhanced Safety
with Cutting-Edge Equipment

Step 2: Implant Placement

  • 01

    3D digital simulations ensure precision in implant placement.

  • 02

    Minimally invasive techniques reduce bleeding and swelling, promoting faster recovery.

03

Fast Recovery &
Natural Appearance

Step 3: Final Restoration

  • 01

    PRF (Platelet-Rich Fibrin) therapy enhances bone regeneration and stability.

  • 02

    Custom-designed prosthetics are applied to achieve a natural and aesthetic smile.

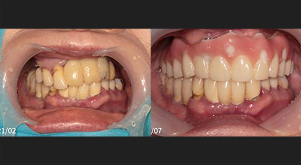
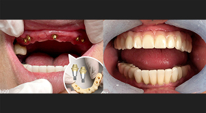
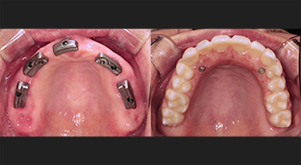
Before & After Photos of Dental Implants

more view
more view