在线咨询
TOP

医疗服务

美丽与健康,
由顶级医疗服务为您打造!

牙贴面

LAMINATE VENEER
自信微笑,由完美牙齿打造

现在,牙齿的形状、颜色和排列都可以按您的需求打造!
通过牙贴面治疗,在短时间内塑造自然精致的牙齿曲线,
让您的笑容更加自信动人。

适合进行牙贴面治疗的
典型牙齿状况
  • 01

    牙齿变色

  • 02

    牙齿破损

  • 03

    牙缝过宽

  • 04

    牙齿不整齐

  • 05

    牙齿过小或突出

个性化医疗服务
01

为每个人量身打造的
个性化牙齿设计

牙贴面治疗第1阶段

  • 01

    通过X光拍摄和3D扫描,精确分析牙齿与脸型

  • 02

    根据牙齿排列、大小和颜色,制定个性化设计方案

02

牙齿结构与脸型分析 &
诊断模型制作

牙贴面治疗第2阶段

  • 01

    结合牙齿结构与脸型,确定最合适的设计

  • 02

    通过诊断模型,精准预测最终修复效果

03

使用定制牙贴面,
最大限度保护原生牙齿

牙贴面治疗第3阶段

  • 01

    采用个性化牙贴面设计,最大限度减少牙齿磨损

  • 02

    通过精细调整,防止因过度磨损造成的不良影响

04

高端定制牙贴面

牙贴面治疗第4阶段

  • 01

    采用与自然牙相似的颜色和透明度,精心制作个性化牙贴面

  • 02

    结合个人微笑曲线,实现美观与功能兼备的最佳效果

05

精准贴合,
确保持久耐用

牙贴面治疗第5阶段

  • 01

    通过精准粘合过程,将牙贴面完美固定,并进行微调咬合

  • 02

    结合牙齿咬合平衡与咀嚼力,确保完美贴合与持久效果

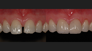
牙贴面治疗前后对比照片

more view
more view